Blog fisioterapia con consejos y novedades para tu bienestar
Recibe nuestros consejos sobre salud
En nuestro blog fisioterapia descubrirás consejos de fisioterapia, artículos sobrelesiones deportivas, ejercicios terapéuticos y contenidos sobre rehabilitaciónfisioterapia. Además, encontrarás información práctica para mejorar tu saludmúsculo-esquelética y aprender más sobre técnicas actuales que potencian elbienestar. Todo el contenido está pensado para ayudarte de forma clara y sencilla.
Los Beneficios de la Ecografía y Por Qué Elegir Soul Fisioterapia en Coslada
En el campo de la fisioterapia moderna, las herramientas de diagnóstico por imagen, como la ecografía, han revolucionado el enfoque de evaluación y tratamiento. Soul Fisioterapia, ubicada en el corazón de Coslada, ofrece servicios avanzados de ecografía para brindar...
Descubre los beneficios de las ondas de choque: un servicio exclusivo en Soul Fisioterapia
En Soul Fisioterapia, tu clínica de confianza en Coslada (Madrid), nos enorgullecemos de ofrecer tratamientos innovadores y efectivos para cuidar de tu salud y bienestar. Una de nuestras terapias más destacadas es el tratamiento con ondas de choque, una tecnología de...
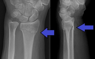
Fractura de Colles: Una lesión común en la muñeca
Introducción:La fractura de Colles es una lesión ósea común que afecta la muñeca. Recibe su nombre en honor al cirujano irlandés Abraham Colles, quien describió por primera vez esta lesión en el siglo XIX. Esta fractura ocurre en el extremo distal del radio, uno de...



